Arthraosika gabungan dengkul (Gonartrosis) mangrupikeun panyakit degeneratif dimana rawan éta langkung ipis. Numutkeun statistik, unggal kalima para planét situ ti ieu patologi ieu. Tulisan ieu bakal nganggap panyabab umum arthrosis, gejala na aya dina unggal tahapan, ogé metodeu diagnosis diagnosis.
Nyababkeun
Saban poé, mis kelir dengkul dimana leumpang ka ageung. Barina ogé, aranjeunna kedah tahan jisim awak. Hasilna ieu, aya kagoadual tina jaringan tulang batilatorage, anu nyababkeun parobahan patologis di tuur.
Kelompok résiko kalebet jalma:
- manula,
- nalangsara tina kaleuwihan beurat,
- gaduh osteoporosis sareng gangguan métabolik,
- parantos nampi tatu gabungan,
- ngawakilan profésional tangtu,
- sangsara tina kakurangan mikro,
- aktipitas olahraga beurat.

Dina kalolobaan jalma yuswa 40 taun, ayana arthrosis dina tahap pangembangan kadua atanapi engké tiasa dipendakan.
Gejala utama
Tangtosna, parobihan jaringan rawan teu tiasa lumangsung tanpa gejala. Kalayan panyakit, jalma tiasa ngawadul ngeunaan:
- rarasaan teu ngarareunah dina tuur saatos bangun atanapi panjang-lami dina posisi calik,
- Nyeri dina sukuna saatos posisi anu panjang,
- sensasi anu ngaduruk nalika naék gunung sareng tangga.
- Kalemahan dina suku saatos beban anu sakedik, ogé dina tungtung dinten.
- Sababaraha pasien prihatin malah wengi, dina bobo.
PENTING! Panyakit henteu lumangsung pisan, tiasa ngamekarkeun salami sababaraha taun. Nyeri dina tahapan kahiji tiasa pati penting, tapi langkung waktosna aya paningkatan pengkuh.
Arthrosis of dedar 1 gelar
Dina tahap ieu, galararh mangrupikeun awal kamekaran, kanggo hiji jalma, Proses-prosés ampir asimtomatical. Tapi, sababaraha tanda masih tiasa ditingali.
Hiji jalma sering mimiti karasa kacapean dina suku, perhatikeun panurunan sakedik dina mobilitas hiji atanapi dua sendi dengkul. Fenomena ieu hususna cocog sareng énjing, dina waktu mimiti-sering hudang.
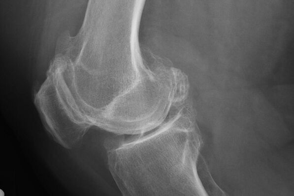
Sakumaha aturan, diagnosis panyakit dina tahap ieu lumangsung ku kacilakaan, nalika hiji x -ay. Di dinya, dokter tiasa ngatasi sababaraha henteu teratur dina tulang rawan. Éta ogé mungkin pikeun ngahususkeun lumen antara bagian gabungan.
Arthrosis of dengkul 2 derajat
Patologi tina gabungan dengkul mimiti muncul langkung dikuasa. Penampilan sindrom nyeri nyaéta ciri, anu diambek ku beban tambahan dina gabungan.
Rujukan Dina tahap ieu, nyeri kases nyalira, saatos sésana anu panjang.
Salaku tambahan, salami tahap kadua, gejala sapertos:
- Kritik anu tangtu. Éta tiasa diperhatoskeun boh dina hiji sareng dua tuur. Crunch tiasa bieu pisan, tapi laun-laun-laun-laun laun, nyaring sareng karakter anu béda.
- Ngurangan kamampuan pikeun ngalelepkeun suku dina dengkul. Sababaraha jalma ngan ukur tiasa ngalakukeun ieu ka pojok 90 derajat, maka sensasi anu pikaresepeun, sareng aranjeunna kapaksa eureun.
- Sababaraha pasien anu ngagaduhan gonaltrasi tahung 2 sareng tahap mimiti ngémutan ngeunaan penampilan nyeri anu seukeut nyaéta lumangsung nalika gabungan dengkul ku kelir dengkul.
- Akarangkat pikeun ngarobah bentuk gabungan dengkul, janten larwer, bengkak. Ieu kusabab akumulasi cairan patologis.

Upami teu ngarareunah ditingali di daérah dengkul, anjeun kedah konsultasi ka dokter supaya anjeunna resep perawatan anu leres.
Arthrosis of dengkul 3 derajat
- Dina tahap ieu, dina adiokan gabungan, parobihan struktural strukturés kuat. Tumuwuhna anu ngagaduhan ukuran anu ageung muncul di dinya.
- Trevature of leg anu kapangaruhan dicatet. Éta betah panjang 0 ngawangun atanapi x ngawangun, anu janten halangan anu serius pikeun kahirupan pinuh. Hasilna, hiji jalma tiasa janten jalma anu cacad.
- Fénoména karakteristik tahap ka-3 kasakit parna, anu tiasa dialuarkeun, digentos saatos masing-masing, beban saeutik.
- Jalma anu ngahubungkeun sensitipitas gabungan pikeun ngarobih cuaca. Ayeuna yén siklon ngadeukeutan, dengkul nyaeta, sensasi narik di dinya.

Kalayan umur, sendi mimiti ngaréspon parobahan dina cuaca sareng tekanan.
Arthrosis tina gabungan 4 derajat
Éta mangrupakeun tahap anu ekstrim
Rujukan Kaseueuran orthopedists ngarobih tahap kaopat ka anu katilu. Ieu kusabab kasarna gejala sareng pajeulitna sateuacanna.
Kusabab henteuna jurang anu katalungtik, gerakan gabungan ngan saukur teu mungkin.
Salaku tambahan, pasien nyiksa kalayan teu bahasa, nyeri konstan, anu relevan ukur ku panyalah leutik. Tapi saatos hiji waktos nalika tindakan tablet atanapi suntikan eureun, gejala anu pikaresepeun muncul deui.
Diagnostik
Ujian pasien dimimitian ku pamundut na pikeun ngabantosan spesialis. Aranjeunna tiasa janten ahli terapi atanapi orthopedist.
Dokter didaptarkeun ka keluhan, ngumpulkeun anamesis, ngalaksanakeun ujian. Mimiti, anjeunna bakal kabetot di parobihan éksternal dina gabungan, parangan mobilitas dina daérah-daérah.

X -Ray bakal ngabantosan ngaidentipikasi percikan dina rawan.
Upami kamungkinan, pasien sénta ngeunaan ternyata sensasi pikaresepeun, sareng jodo cangkir dengkul, anu matak uninga.
PENTING! Devagosis henteu mungkin saatos hiji ulang visual, padah ku ayana sadaya tanda kasakit. Ngan ujian anu komprehensif ngamungkinkeun anjeun masihan jawaban anu akurat ngeunaan patologi anu ngalir dina dengkul.
Saatos ujian, dokter anu resep skorografi pasien. Ieu mangrupikeun metodeu utama diagnosis arthrosis of dengkul tina gelar naon waé.
X -ray masihan dokter ideu ngeunaan parobahan dina karpét dina tulang gabungan. Nanging, dina sababaraha kasus, tahap awal moal dihartikeun gambar.
Upami diperyogikeun, dokter tiasa resep petikan ulang anu diulang hiji sinar x atanapi tomonsesies résiko sareng nagnana.
Perlakuan
Nalika dinongkeun gonarhrosrosis, diperlaman geuwat kedah dimimitian. Ieu bakal ngabantosan ngirungan penerangan patologi, nyegah seueur komplikasi.
Terapi panyakit ngudag sababaraha tujuan sakaligus. Nyaéta:
- Eliminasi sindrom nyeri,
- ngirangan dina parah gejala sanés,
- restorasi maksimum maksimum tina kartilage anu kapangaruhan sareng ligamén gabungan,
- Paningkatan dina mobilitas dahan.
Huburan panyakit ieu ogé variétika sapertos:
- Terapi ubar,
- meuseul, osteopathey, terapi manual,
- Pipilueun bedah,
- Aturan Paling sareng nyegah
- Fisioterapi.
Perawatan
Rujukan Terapi ubar nyaéta metode utama pikeun ngubaran panyakit. Nanging, paling suksés nalika digabungkeun sareng metode anu sanés.
Narkoba anu digunakeun pikeun perlakuan gonarhrosis kalebet:
- Ubar anti -informental nonsterfernal - Ngaronjatkeun sabar tina nyeri, nulungan radang. Kasataran ieu mangrupikeun agén gejala tanpa mangaruhan ku sababna panyakit. Aranjeunna gelut ngan ukur utamina, mawa lega samentawis.
- Chondropriptoror - Mulangkeun lawon rawan. Tapi, pangaruhna janten berharga henteu langsung. Narkoba na kumulatif (akibat) sipat, jantenna rupa-rupa waktu pikeun pangaruh pinuh.
- Ubar hormonal. Éta diawaskeun, sakumaha aturan, sareng tahap maju panyakit. Dana ieu tiasa gancang ngaleungitkeun bareuh sareng peradangan jaringan dina ngagabungkeun gabungan. Kalemahan ku kelas ieu ubar nyaéta pangaruh whiborm kana awak, dimana seueur réaksi ngarugikeun anu leungitna mungkin mungkin wae pangaruh anu henteu pikaresepeun. Éta ditingali ku kursus-kursus hiji-up, salami exacerBation dina prosés.
- Narkoba éksternal, dirancang pikeun ngaleungitkeun nyeri. Dileupaskeun dina bentuk salep, krim.
- Asam hyaluronik. Éta solusi anyar dina pengobatan geurtosis. Penalan A stora -Tartular tina hartosna anu ngarengsekeun gabungan. Éta gaduh efisiensi anu cukup luhur. Nanging, metode anu dicirikeun ku kakurangan sapertos kitu: kamungkinanal nganggo ngan ukur di tahap mimiti panyakit sareng biaya anu luhur.
PENTING! Ngenalkeun ubar kana jurang gabungan diidinan langkung ti 1 waktos dina 7-10 dinten.
Meuseul
Meuseul, ogé un manual sareng perlakuan osteopatathic anu dituju:
- Eliminasi nyeri,
- ngatasi heuras gerakan di tuur,
- pamutahiran pasokan getih di situs rawan,
- Nyayogikeun gizi sareng oksigén di daérah radang.
Rujukan Ieu mineres sareng ieu anu sami kedah dilaksanakeun ngan ukur ku jalma anu ngagaduhan pendidikan khusus. Upami teu kitu, anjeun moal ngarugikeun sareng nahan kaayaan gabungan.
Pipilueun bedah
Ieu mangrupikeun ukuran ekstrim dina pengobatan arreosis, nalika panyakit kaseueus pisan sareng metode terapi anu sanésna mangrupikeun kakuatan. Kaseueuran, endoprostétika anu dianggo, dimana gabungan anu kapangaruhan diganti ku wesan anu wanci.
Prostingics tiasa tina dua jinis:
- pinuh - sakabéh gabungan diganti,
- Sistial - ngan ukur bagian anu paling ngagem tina gabungan artikular pikeun ngagantian.
Contraindications kana prosthetics nyaéta:
- inféksi purul sacara purul;
- gangguan neuromuscular;
- patologis patologis;
- Sababaraha kasakit kardiovaskular.
Pilihan séjén nyaéta koréksi osteotomy. Kalayan metoda ieu, solidampur diselapkeun kana gabungan, ngirangan tekanan di daérah anu kapangaruhan.
Terapi latihan
Ieu mangrupikeun palaksanaan biasa sareng leres tina sababaraha latihan fisik anu ditujukeun ku nguatkeun gabungan sareng ngalereskeun mobilitas na.
Prosedur ieu tiasa dilakukeun sacara mandiri di bumi, teras-teras dihubungi spesialis pikeun nasihat.
Nyegah
Nuturkeun aturan sederhana bakal nyegah kajadian atanapi exacerbation tina karusakan rawan. Pikeun ieu anjeun peryogi:
- Tuturkeun diet. Ieu bakal nyumbang kana kontrol beurat awak, nyayogikeun awak sareng sadaya vitamin sareng mineral anu peryogi.
- Taat kana olahraga tangtu, ngantunkeun batur. Kanyataanna yén kalayan gonarrosis, jalur kaleuleuwihan dina tuur pisan henteu pikaresepeun. Pikeun alesan ieu, ngajalankeun sareng luncat langkung saé pikeun ngagentos sareng sapédah sapédah, ngojay atanapi aquaerobik.
- Rutin ngalakukeun latihan terapi.
- Ngagem sapatu anu pikaresepeun sareng orthopedically. Hal ieu henteu katampi pikeun nganggo Tilik sareng empukan anu luhur, dulang datar, masihan pilihan ka sapatu ku sekan leutik.
Arthrisrain dengkul mangrupikeun panyakit anu cukup umum anu tiasa diatur. Sanajan awal asimtomatik, gonarhrosis tiasa ngakibatkeun komplikasi serius, dugi ka cacad. Ku alatan éta, penting pikeun ngalaksanakeun diagnostik dina waktuna sareng ngawaskeun perlakuan anu dipikabutuh.


















































